ドクター・スタッフブログ

スタッフブログ

目の下脱脂で、クマ取りました。

みなさんこんにちは
恵聖会クリニック 看護師Fです。

今回は、私が目の下のクマ取りをしてみた経験をご紹介します。

オペを考えるに至った経緯

元々そこまで気にしていなかったのですが、ふとドクターから目の下のクマのことに触れられ、目の下脱脂でもっと良くなりそうと言われたことがありました。

そう言われてみると、メイクした時、目がどんよりしているのが気になり、涙袋を強調させても影が映る
そういえば周りから「疲れている?」っと言った印象を持たれる事が多かったのもこれが原因なのかなと思うようになりました。

このような経緯もあり、最初は悩みましたが、思い切って施術を受けてみることにしました。

施術前の写真はこちら

スタッフBefore写真

施術中とその後の様子

施術の時間ですが、麻酔が始まって手術が終わるまで、体感で30分くらいでした。
最初の麻酔は少し辛かったですが、その後はリラックスできました。

腫れが少ない施術ということは知っておりましたが、実際そうでした。
施術直後は少しむくみが気になる程度。
目はゴロゴロしましたが、そのうち気にならなくなりました!

内出血も気になる時期ありましたが、少し厚めにファンデーションを塗れば、周りからは気づかれませんでした。

施術を受けてみて満足!

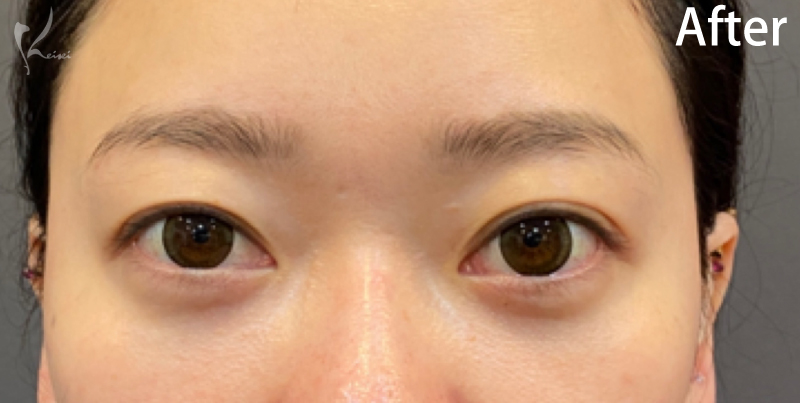
施術して1ヶ月経過した時の写真はこちら

スタッフAfter写真

涙袋もぷっくりして、とっても大満足です。

腫れが引いたあたりからメイクした時の変な影がなくなり、この写真を撮っているときには、疲れている感じがなくなりました。

他のスタッフから「めっちゃ良くなった!」と言われて嬉しかったです。


皆様の中にも、目元の悩みをお持ちの方は多いと思いますが、
まずはクマ取りから始めてみませんか?

このページをいいね!
と思ったら・・・

スタッフのブログ

ドクター・スタッフブログ